TCA CROSS for Deep or Textured Scars
stimulates collagen to smooth uneven, pit-like scar surfaces.
HIFU for Deeper Scar Remodeling
uses ultrasound energy to remodel deep scar tissue safely.
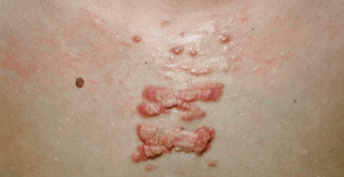
Laser Therapy for Keloid and Hypertrophic Scars
flattens raised scars, reduces redness, and improves texture.

Intralesional Corticosteroid Injections
soften thick scars, reduce itching, and help prevent regrowth.
Cryotherapy
freezes scar tissue to shrink keloids, especially smaller lesions.
Silicone Gel/Sheeting
hydrates scars, reduces redness, and relieves itching.







